SOPIX
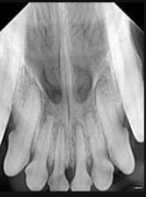
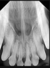
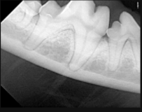
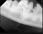
SOPIX är en DR sensor med kabel som kopplas i USB kontakten på er dator. Sensorn finns i storlekarna Size 1 (25x39mm) och Size 2 (31x42mm).
Size 1 är lämplig för katt och Size 2 för hund.
Sensorerna har en väldigt hög synbar upplösning tack vare en speciell fiberteknik, supersmå pixlar och känslig scintillator (lagret som omvandlar röntgen till elektronisk läsbart ljus). Pixlarna är endast 20um stora vilket ger en teoretisk upplösning på 25lp/mm. Kabeln är hela 370cm lång (70cm som inbyggd i Xmind Unity röntgenapparaten).
Den veterinära SOPRO mjukvaran som följer med i leveransen innehåller allt ni behöver för att granska bilderna och mer därtill. DICOM paket finns som option och medför att ni kan koppla till befintligt journalsystem för patientdata och/eller skicka bilder till PACS system över nätverk.






